|
Back
CASE
1:
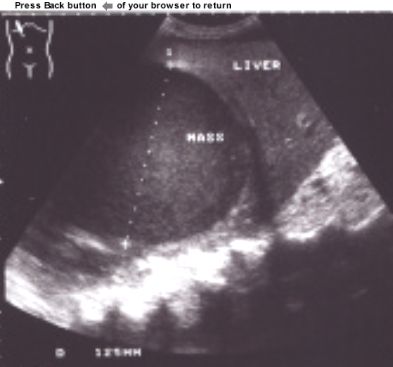
This patient had an
abdominal ultrasound. A single, round,
hypoechoic, homogeneous, well
defined mass was demonstrated in the right liver lobe. The size of the
mass was 12,5 cm. The borders of the mass was smooth and clearly separated
from liver parenchyma. The rest of the liver parenchyma was normal and
examination of the rest of the abdomen did not reveal any other
pathology.

click
the
picture
to
enlarge
ANSWER:
Liver
Abscess
If
you
want
more
information
about Liver
Abscess
click
here.
|