HOME    

Training
Program
Contact
Info
Training Videos
Atlas of Ultrasound
Hands-on Classes

Bookings

 

CASE
STUDY

 

Further
Reading

 

 

Feedback

 
     
     
     

ARCHIVE

   

Back

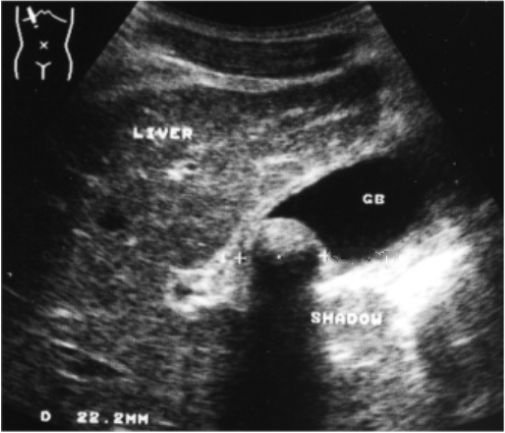
CASE 9:

Examination of gallbladder revealed a large (2,2cm), echogenic, intraluminal mass with smooth surface. A broad acoustic shadow, posterior to the mass was present. Gallbladder wall was thin. Rest of the examination was normal.

GALLstoneSINGLEbigJPG.jpg (31993 bytes)
click the picture to enlarge

ANSWER:

Single gallstone in the gallbladder.

If you want more information about Gallbladder Calculi click here.


 


 

Copyright (c) 2002 - 2024 by  TECHNO CITY  www.technocity.co.za
Contact us at: +27-82 786 4870