HOME    

Training
Program
Contact
Info
Training Videos
Atlas of Ultrasound
Hands-on Classes

Bookings

 

CASE
STUDY

 

Further
Reading

 

 

Feedback

 
     
     
     

FURTHER READING

 

GALLBLADDER CALCULI

The ultrasonic diagnosis of cholelithiasis rests on two main signs:

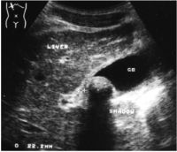
1- Echogenic focus in the gallbladder lumen (Picture 1),
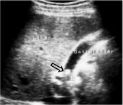
2- An acoustic shadow posterior to the echogenic focus (Picture 2).

The mobility of an intraluminal focus is a sign that is useful in equivocal cases (i.e., where a definite acoustic shadow is not demonstrated). It may be difficult to elicit a shadow behind small calculi (e.g., <5mm), depending on the ultrasound beam characteristics. The production of the shadow depends on the size of the calculus, the orientation of the calculus, the surface characteristics of the calculus (smooth vs. rough), and the beam geometry. The clear posterior shadow is produced by absorption of sound by calculi.


Picture1. Echogenic focus in the gallbladder lumen.


Picture2. Acoustic shadow.

Calculi are usually denser than bile and thus sink to the dependent portion of the gallbladder. However, in some cases the calculus may float within the fluid. Stones impacted in the cystic duct or gallbladder neck are important to identify but may be easily overlooked. Impacted calculi usually cause abdominal pain and acute cholecystitis. To routinely detect these calculi, one must trace the gallbladder neck back to the portal vein by scanning the gallbladder in its short and long axes.

When the patient has not fasted before the exam, the gallbladder will be less distended and perhaps less suitable for ultrasound examination.

REFERENCES:
[1]Abdominal Ultrasound. E.E.Sauerbrei, K.T.Nguyen, R.L.Nolan. 1992.


 

Copyright (c) 2002 - 2024 by  TECHNO CITY  www.technocity.co.za
Contact us at: +27-82 786 4870